BLOG
ブログ

- 2023/04/25
- 日々
- 症例のご紹介『歯冠修復』
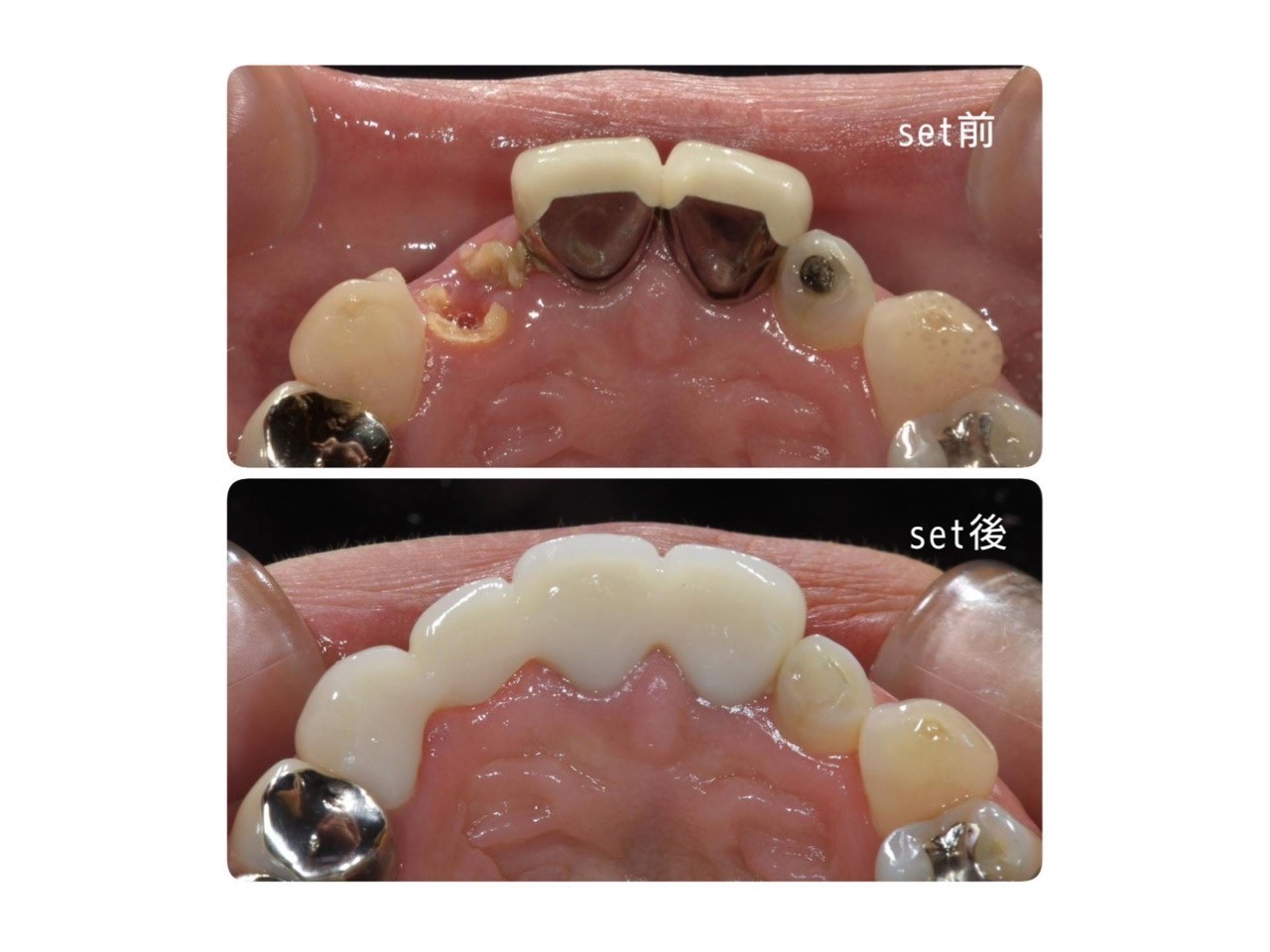
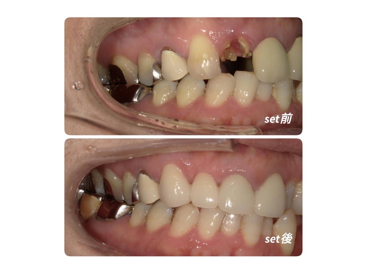
[50代・女性]の歯冠修復の症例を紹介させていただきます!



こちらの患者様は全体的に金属が入っているのが気になり、歯冠修復されることになりました。
部位:左上1と右上1〜3
修復前:保険適用のレジン前装冠
・・・人から見られる外側がレジンでできており、内側が金属で作られている被せ物
修復後:ジルコニアブリッジ
・・・ジルコニア100%なので物性が安定しているため強度が非常に強い!!白いので審美的です!!
RECOMMEND
関連記事
-
- 日々
- 虫歯治療のご紹介

WEB予約
