BAD BREATH
歯周病治療

永久歯を支える、歯ぐきを守るケアと治療を
歯本体だけでなく、それを支える歯ぐき(歯周)の症状によって歯を失うケースも少なくありません。
ですが、治療とご家庭でのケアで改善も可能です。歯周病にも強い、歯の健康作りをこれから始めていきましょう。

-
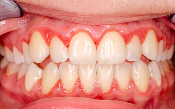
- 歯肉炎
-
歯の周りにある歯ぐきだけが腫れる、比較的軽度の炎症をいいます。多くの場合はプラーク(歯垢)が原因なので、ブラッシングでも改善できる可能性があります。この状態を放置すると歯ぐきが下がってしまい、次の歯周炎へと悪化してしまいます。

歯肉炎治療について
比較的軽度な症状である歯周炎では、以下の治療が考えられます。
・PMTC(自由診療)
・クリーニング(保険適応)
・フッ素塗布(保険適応)
歯科医師による歯面清掃(自由診療)や、保険適応内での歯石除去クリーニング・フッ素塗布によって、炎症の拡大を防ぎつつ歯のケアを行います。
定期的なケアを当院と二人三脚で進めることで、お口の状態は十分に改善が可能です。歯ぐきの痛みや炎症・出血にお悩みであれば是非ご相談ください。

-
- 歯周炎
-
歯の周りにある歯ぐきだけが腫れる、比較的軽度の炎症をいいます。多くの場合はプラーク(歯垢)が原因なので、ブラッシングでも改善できる可能性があります。この状態を放置すると歯ぐきが下がってしまい、次の歯周炎へと悪化してしまいます。
歯肉炎であれば、抜歯などの大掛かりな治療を防げる可能性があります。できる限り歯周炎を防ぐためのケア、治療を行うことが大前提となります。
歯周炎治療について
上記の治療で十分に改善が見込めない場合には、歯ぐきの抜本的な治療が求められるケースも考えられます。
そのために外科手術の伴う、専門性の高い治療が望ましいケースも考えられます。
当院、または提携医院で可能な治療を提示可能です。
・歯肉歯槽骨整形手術(自由診療)
・歯周組織再生誘導手術(自由診療)
・歯周ポケット掻把(そうは)術 (保険適応)
・歯肉剥離掻把手術(保険適応)
高度な治療技術を併用するため、費用や治療期間がかかる可能性があります。
ですが、より根本からの治療を行うことで、これ以上歯や身体の各組織にかかる負荷を防ぐ狙いもあります。
歯の炎症やぐらつきは放置せず、ぜひとも当院にご相談ください。

-
当院は患者さまのご希望に応じて治療計画をご提案いたします。お気兼ねなくご相談ください。
- tel.079-224-0222

WEB予約