Natural Teeth
詰め物・被せ物

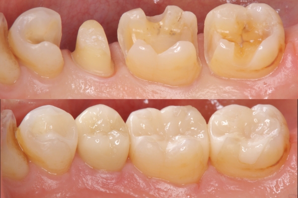
より自然で審美性のよい歯にするためのご提案
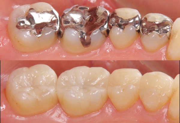
虫歯治療などで歯を削る場合、詰め物(インレー)や被せ物(クラウン)によって治療箇所を補います。
当院では、患者さまがご希望に応じて、治療計画や使用する素材についてご提案します。
当ページをもとに、実際にご相談される際の参考になれば幸いです。

こんなことで困っていませんか?
-
✔保険治療の範囲で白い歯に近づけたい
✔銀歯を使わずに治療をしてほしい
✔治療費をかけて、より綺麗な歯にしたい
✔違和感なく食べ物を噛んだり笑ったりしたい
own expense
自由診療(保険適応外)
-
- ジルコニアインレー(クラウン)
- セラミックの一種である二酸化ジルコニウムを使った詰め物/被せ物です。この素材による金属によるアレルギーの心配はなく、高い審美性と安全性・強度性があります。定期健診などによって丁寧なケアを心掛ければ、長く使用可能です。

-
- オールセラミックインレー
(クラウン) - 自然歯に近い白さと強度を持つ、セラミック体を詰め物に使う治療方法です。ジルコニアと同様に安全性・審美性・強度性がよく、自然歯と変わりない噛み合わせのまま使えます。

- オールセラミックインレー
-
- ハイブリッドインレー
(クラウン) - 合成樹脂であるレジンとセラミックを合成させた詰め物(被せ物)を使用します。セラミックに比べると安価に、歯の補修が行うことができ、身体への安全性もあり素材です。

- ハイブリッドインレー
-
- メタルボンド
- 歯の外側をセラミックで、内側に金属を使用した被せ物です。銀歯に比べると審美性の高さや歯垢の付きづらい特長があります。金属アレルギーの心配がなければ適応可能です。

-
- ラミネートベニア
- 付け爪のように、歯の表面にセラミック製の薄いチップを付ける治療法です。歯の表面をごく薄く削ったうえで歯冠を使うので、歯にかかる影響を抑えつつ天然歯のような見た目・機能性を持たせることができます。

-
- ゴールドインレー(クラウン)
- 金合金や白金加工金(プラチナ)を使用した詰め物(被せ物)です。銀歯に比べると二次的な虫歯リスクを抑え、金属が解けづらいためにアレルギーの心配が少ないメリットがあります。

insurance
保険治療
-
- 硬質レジン前装冠
-
歯の裏側は金属を、表側はレジンというプラスチック素材によって歯を補強します。銀歯のみを使った被せ物と比べると、より見た目を整えられる効果があります。(経年劣化や金属アレルギー反応が生じる可能性はあります)

-
- CAD/CAMハイブリットセラミック(指定箇所あり)
-
専用の3Dプリンターを用いた、プラスチックとセラミックを混合させた被せ物による治療法です。保険適応の条件はありますが、アレルギーに対応しており外観も整えられる治療法です。
【適応条件】・上下顎の第4・5歯・上下顎の第6歯(全て第7歯がある場合に限る)
また、金属アレルギーの方は以下の歯にも適応可能です。・前歯・上下顎の第7歯

-
当院は患者さまのご希望に応じて治療計画をご提案いたします。お気兼ねなくご相談ください。
- tel.079-224-0222

WEB予約