BLOG
ブログ

- 2024/06/08
- 日々
- 虫歯治療のご紹介
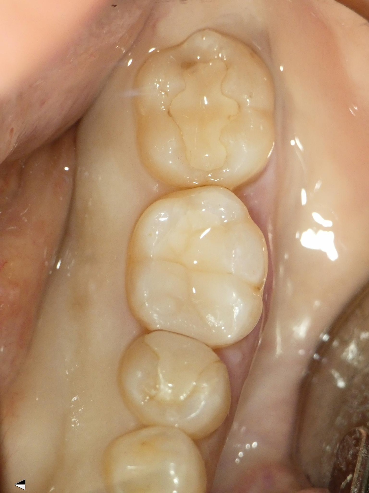
左下の前から6番の歯の虫歯治療の症例を紹介させていただきます。



こちらは保険診療で、コンポジットレジン修復で治療をしております。
当院では患者様が満足した治療を受けていただけるよう スタッフ一同 日々勉強しております。
何かお困りの際はお気軽にご相談下さい。
RECOMMEND
関連記事
-
- 日々
- 商品のご紹介 -3-
-
- 日々
- 受付スタッフ紹介
-
- 日々
- 差し入れをいただきました

WEB予約
