BLOG
ブログ

- 2022/09/09
- 日々
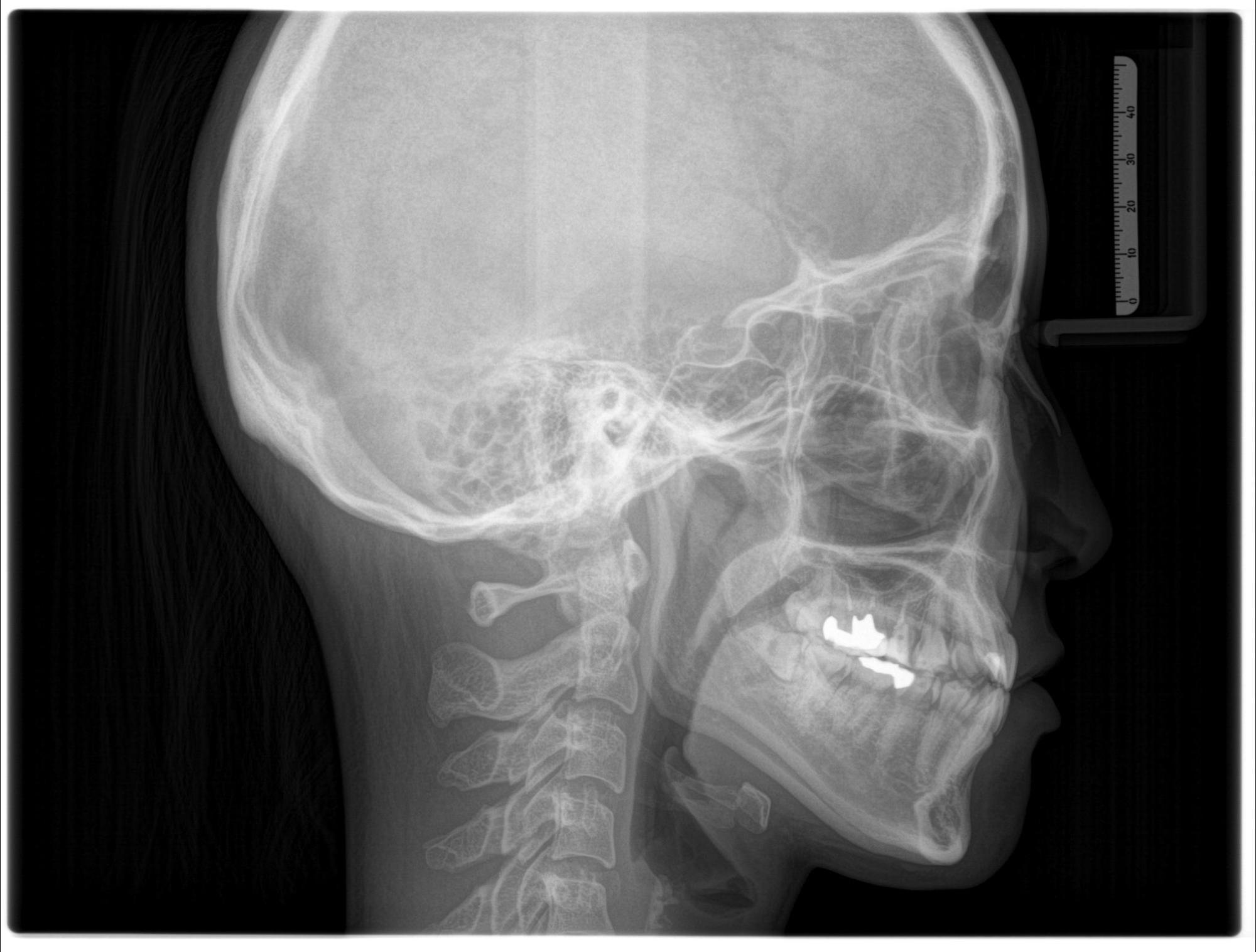
- 矯正専用レントゲン機器を導入いたしました
新しく『セファロ』とよばれる
矯正専用レントゲン機器を
導入いたしました。

正式には「頭部X線規格写真」といいます。

矯正治療を行う際に
頭を基準として歯の傾き
顎骨・歯列の位置などを
確認することができます。
どのように歯が動いていくのか
どのくらいの期間がかかるのかなど
患者様にもより一層理解していただけますよう
安心して治療に取り組んでいただけますよう
努めてまいります。
矯正のご相談は無料となっておりますので
お気軽にご相談ください。
お予約お待ちしております^^
RECOMMEND
関連記事
-
- そのほか
- 歯のお掃除について

WEB予約

