BLOG
ブログ

- 2022/07/13
- 日々
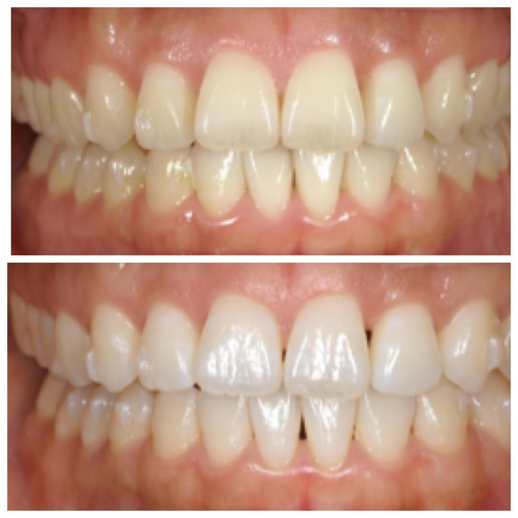
- 矯正中でも可能なホームホワイトニング
インビザライン治療を行っている
スタッフ2人も使用しました!
誰でも気軽に行える
\ホームホワイトニング/

『オパールエッセンスGO』

誰でも簡単に行うことができる
ホームホワイトニング!(10回分)
歯型取りをせずに行えるホワイトニングなので
矯正中の方でも可能です!!!
使用時間は1日90分
before after はこちら♩

自分でも違いが実感でき、びっくり!!
鏡を見る度に嬉しくなります(^^)
当院でも販売予定ですので
気になられる方はお気軽に
お声がけください!
RECOMMEND
関連記事
-
- 日々
- ホワイトニングのご紹介♪

WEB

